
Соавтор, редактор и медицинский эксперт – Петрашевич Анна Александровна.
Количество просмотров: 123 244
Дата последнего обновления: 27.03.2022 г.
Среднее время прочтения: 7 минут
Содержание:
Причины образования желтого зубного налета?
Стадии формирования зубного налета
Из-за чего образуется зубной налет?
Как защитить себя от образования зубного налета?
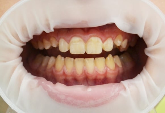
Многие стоматологические заболевания связывают с влиянием зубного налета. Он состоит из бактерий и продуктов их жизнедеятельности, отмерших клеток слизистой оболочки, лейкоцитов, остатков пищи и белковых молекул из слюны. Если человек курит, употребляет кофе, чай и другие окрашенные напитки и продукты, налет становится пигментированным и меняет цвет зубов.
Налет на зубах – это не только некрасивый вид и неприятный запах изо рта. Его минерализация приводит к образованию зубного камня, который травмирует десны и меняет структуру эмали. А размножающиеся бактерии вызывают воспаление тканей и развитие кариеса.
Причины образования желтого зубного налета?
Налет бывает мягким и твердым, в последнем случае говорят о камнях. Мягкие отложения на зубах образуются у всех людей, это естественный и постоянный процесс, связанный не только с приемом пищи, но и с микрофлорой ротовой полости. Дело в том, что на поверхности слизистых оболочек человека обитает множество бактерий. Они остаются во рту даже после тщательной чистки зубов.
Каждый зуб в норме покрыт бесструктурной пленочкой, которая называется пелликулой. Ее толщина не более 1 мкм, а в составе обнаруживаются кислые белки (протеины) разного происхождения, энзимы, иммуноглобулины (защитные антитела) и другие соединения. Пелликула – это полупроницаемая мембрана, через которую происходит обмен между слюной и зубной эмалью.
Микробы выделяют высокоадгезивные гетерополисахариды, что дает им возможность прикрепляться к пелликуле. В результате образуется мягкий пористый налет. На его поверхности осаждаются бактерии, остатки пищи, лейкоциты, белковые молекулы и отмершие клетки эпителия. Толщина зубного налета прогрессивно увеличивается, он постепенно меняется и может превратиться в камень.
Стадии формирования зубного налета
В процессе формирования зубного налета выделяют 3 основные фазы. Первая стадия длится первые 4 часа после чистки зубов, когда сохранившиеся бактерии начинают размножаться и распространяться. К концу этого периода во рту может обнаруживаться до 1 млн различных микроорганизмов.
Второй фазой считается промежуток 4–7 часов после тщательной чистки зубов, на этой стадии количество микробов уже возрастает в 10 раз. Бактерии фиксируются на поверхности зубов, способствуя образованию тонкого мягкого зубного налета. На этой стадии пока что преобладают стрептококки и лактобактерии. Выделяемые ими кислоты губительны для эмали, а ее разрушение предрасполагает к кариесу.
Через 6–7 часов после чистки зубов можно говорить уже о 3 фазе, при этом налет становится видимым и принимает свою окончательную структуру. В его составе теперь преобладают анаэробные бактерии, которые не нуждаются в кислороде и потому могут обитать в толще наслоений. Под действием слюны и микробов налет постепенно утолщается и твердеет. Происходит минерализация и превращение мягкого зубного налета в камень. Сильнее всего камень образуется около устьев слюнных протоков. Он давит на десневую бороздку и раздражает ее, нарушает обмен веществ между тканями и слюной. Все это способствует повреждению зубной эмали и развитию воспаления десен (гингивита). В последующем процесс распространяется на более глубокие слои.
Для очистки зубов требуется профессиональная гигиена полости рта у стоматолога.
Из-за чего образуется зубной налет?
Основные причины образования зубного камня и налета:
недостаточно эффективная или нерегулярная гигиена полости рта;
употребление слишком мягкой пищи, которая не очищает зубы естественным образом и остается в межзубных промежутках;
неправильный прикус или нарушения роста зубов, что затрудняет удаление зубного налета и способствует формированию камня;
нарушения обмена веществ, меняющие минеральный состав или кислотность слюны и ускоряющие образование камней;
влияние некоторых лекарственных препаратов;
наличие периодонтита (воспаления тканей у корней зуба).
Как защитить себя от образования зубного налета?
Комплексная регулярная гигиена полости рта – лучшая профилактика образования зубного налета и камня, при этом желательно использовать несколько средств.
Используем зубную щетку
Щетка – это простой и доступный способ механического удаления зубного налета до его превращения в камень. Чистку нужно проводить не реже 2 раз в день, на каждый зуб должно приходиться около 20 движений. Сначала от зубного налета очищается внешняя сторона. Для этого щетку поворачивают по направлению от десен к режущей кромке, после чего зубы как бы полируются круговыми движениями. Затем переходят к внутреннему краю и жевательной поверхности боковых зубов. В конце нужно очистить язык, прополоскать рот и вымыть зубную щетку. Конечно, чистка зубов щеткой не удалит камни, но снизит риск их появления.
Не забываем о зубной нити
Зубная нить (флосс) помогает очищать примыкающие поверхности зубов, предотвращая образование камня. Натянутую между указательными пальцами нить аккуратно вводят в межзубное пространство, удаляя налет поступательными движениями. Потом флосс перехватывают и приступают к обработке следующих зубов. Такую очистку нужно проводить хотя бы однократно перед сном, но можно применять ее после каждого приема пищи. Это является хорошей профилактикой формирования зубного камня.
Правильно выбираем зубную пасту
Зубную пасту нужно покупать в соответствии с поставленной задачей, иногда для этого требуется консультация стоматолога. Пасты бывают отбеливающие, укрепляющие эмаль, уменьшающие воспаление и кровоточивость десен, предотвращающие образование камня. Иногда может потребоваться комбинация разных средств. Лечебные зубные пасты приобретаются только по совету врача, после удаления камней стоматолог даст необходимые рекомендации.
Используем ополаскиватель
Ополаскиватель для полости рта является важным дополнением к механической очистке зубов. Желательно включить его в программу ежедневной комплексной борьбы с отложением зубного налета и образованием камней. Ополаскиватели LISTERINE® содержат 4 очищенных эфирных масла и подавляют патогенные микроорганизмы. Они воздействуют на саму причину образования зубного камня и налета, снижая риск образования налета на 70 % по сравнению с использованием только щетки*. А особый LISTERINE® Total Care помогает устранять налет у детей от 6 лет.
* Шарма и соавт. Превосходство ополаскивателя с эфирными маслами над 0,05% ЦПХ. Int Dent J.
Ополаскиватели Listerine
Информация в данной статье носит справочный характер и не заменяет профессиональной консультации стоматолога. Для постановки диагноза и назначения лечения обратитесь к квалифицированному специалисту.
