
Соавтор, редактор и медицинский эксперт – Петрашевич Анна Александровна.
Количество просмотров: 229 928
Дата последнего обновления: 27.03.2022 г.
Среднее время прочтения: 7 минут
Содержание:
Причины
Симптомы
Как можно снять воспаление
Профилактика
Воспаление десен – проблема, с которой в большей или меньшей степени сталкивается каждый человек. Одни люди поступают разумно: своевременно посещают врача, который выявляет заболевание и назначает лечение. Другие игнорируют симптомы воспаления и откладывают визит к врачу до тех пор, пока проблема не превращается в катастрофу. Неприятный запах изо рта, кровоточивость десен, дискомфорт и боль заставляют прибегнуть к помощи специалиста, который обнаруживает необходимость в сложном и продолжительном лечении. Чтобы предупредить воспаление десен, нужно знать причины и симптомы заболеваний.
Причины
Микробы . Воспаление могут вызвать микроорганизмы, обитающие практически везде, в том числе на слизистой оболочке полости рта и на зубах. Сами по себе они не представляют угрозы: их рост и численность регулируются иммунной системой организма в целом и местным иммунитетом в частности. Микробы становятся опасны при наличии благоприятных для них факторов.
Недостаточный уход за полостью рта . Нерегулярная чистка зубов, игнорирование правил по правильному подбору щетки, пасты и ополаскивателя – все это в совокупности приводит к тому, что зубной налет (питательная среда для бактерий) присутствует на зубах постоянно, что становится стимулом для размножения микробов.
Зубной камень . Жизнедеятельность бактерий приводит к образованию веществ, превращающих мягкий налет в твердые образования – зубной камень. С этого момента начинает развиваться воспаление: десна травмируется и опускается, а бактерии получают доступ к более глубоким тканям.
Другие причины . Воспаление десен могут спровоцировать неправильно установленные протезы и пломбы, курение, авитаминоз, заболевания эндокринной системы и желудочно-кишечного тракта, нарушения иммунитета и наследственная предрасположенность.
Симптомы
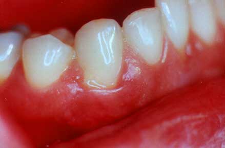
Признаки воспаления десен развиваются постепенно и крайне важно не упустить начало заболевания: чем дальше зашел патологический процесс, тем сложнее и продолжительнее будет лечение.
Поэтапное развитие воспаления выглядит так:
десны отекают и краснеют, при прикосновении к ним зубной щеткой или пальцами ощущается чрезмерная мягкость тканей;
воспаление десен вызывает слабость и хрупкость сосудов, что проявляется сначала незначительными следами крови на зубной щетке или нити, а затем – выделением крови даже при проведении языком по деснам;
развивается повышенная чувствительность, десна опускается, оголяется шейка зуба – участок, менее защищенный, чем коронка с ее относительно толстым слоем эмали;
чувствительность при воспалении десен повышается до той степени, когда даже прием пищи вызывает дискомфорт или боль, особенно при попадании на воспаленный участок кислой, сладкой, горячей или холодной пищи или напитка;
десны становятся рыхлыми, их поверхность и контуры выглядят неоднородными;
появляется неприятный запах изо рта, который не устраняется чисткой зубов.
Как можно снять воспаление
Мази. Действие местных средств, которые наносятся непосредственно на поверхность десен или закладываются в зубодесневые карманы, может быть направлено на устранение воспаления, снятие отечности и кровоточивости, подавление бактериальной микрофлоры, улучшение микроциркуляции и прочие эффекты. Главными недостатками такого метода лечения является неудобство самостоятельного применения мазей, неравномерность их нанесения и, как следствие, снижение их эффективности.
Антибиотики. При воспалении десен могут быть рекомендованы антибактериальные препараты, которые подавляют рост и активность болезнетворных микроорганизмов. Такое лечение позволяет бороться с инфекцией, но может вызвать другие проблемы. Действие антибиотиков не отличается избирательностью, и они с одинаковой эффективностью воздействуют как на вредные, так и на полезные бактерии, относящиеся к одному виду. Состояние микрофлоры имеет непосредственное отношение к здоровью десен, поэтому нередки случаи, когда по завершении лечения одного воспаления приходится лечить другое, вызванное нарушением баланса микроорганизмов.
Народные средства. Народные средства, применяемые при лечении воспаления десен, включают в себя полоскания рта и орошение десен отварами и настоями лекарственных трав – шалфея, ромашки, дубовой коры, тысячелистника и их смесями. К недостаткам такого лечения можно отнести его низкую эффективность: водные растворы задерживаются на поверхности зубов слишком недолго для того, чтобы успеть оказать терапевтическое действие, а спиртовые приводят к пересушиванию слизистой. Кроме того, народные средства могут быть противопоказаны людям, склонным к аллергии, а их применение затруднительно в условиях вне дома, когда нет возможности готовить свежие растворы.
Профилактика
Профилактические меры по предотвращению воспаления десен направлены на комплексное воздействие. Оно должно включать в себя предупреждение образования зубного камня, улучшение гигиены полости рта, поддержание микрофлоры в здоровом состоянии и сдерживание роста бактерий, ответственных за развитие воспаления.
Комплекс таких мер состоит из следующих пунктов:
регулярный и тщательный уход за зубами и деснами с применением правильно подобранной зубной щетки и пасты;
обязательные плановые посещения стоматолога не реже 1 раза в 6 месяцев, а также внеплановые консультации при первых признаках каких-либо воспалений;
своевременное лечение системных заболеваний;
включение в рацион овощей и фруктов с высоким содержанием растительных волокон (яблок, сельдерея, моркови), которые необходимо потреблять в пищу в сыром виде;
регулярное применение ополаскивателей LISTERINE®, обладающих ярко выраженным антисептическим действием и не нарушающих баланс микрофлоры полости рта. Благодаря натуральным ингредиентам – эфирным маслам – LISTERINE® оказывает мягкое действие, которое продолжается до 12 часов после использования ополаскивателя. Таким образом, двукратное применение LISTERINE® – утром и вечером – помогает создать защиту от налета и бактерий на 24 часа.
Ополаскиватели Listerine
Информация в данной статье носит справочный характер и не заменяет профессиональной консультации стоматолога. Для постановки диагноза и назначения лечения обратитесь к квалифицированному специалисту.
