
Соавтор, редактор и медицинский эксперт – Петрашевич Анна Александровна.
Количество просмотров: 79 483
Дата последнего обновления: 27.03.2022 г.
Среднее время прочтения: 12 минут
Содержание:
Гингивит
Пародонтит
Зубной камень
Кариес
Пульпит
Периодонтит
Профилактика заболеваний зубов и десен
Заболевания зубов и десен относятся к тем состояниям, которые способны серьезно ухудшить качество жизни человека и даже привести к нежелательным последствиям в виде осложнений на желудочно-кишечный тракт и другим нарушениям состояния здоровья. Узнав об этих болезнях больше, Вы сможете понять, как защититься от них.
Гингивит
Причины. В большинстве случаев заболевания десен – это результат неправильного или нерегулярного ухода за полостью рта, а также использования неподходящих средств (зубных щеток, паст или ополаскивателей). Болезнетворные микроорганизмы, постоянно присутствующие в полости рта, в процессе своей жизнедеятельности выделяют вещества, которые заставляют мягкий зубной налет затвердевать. Фрагменты пищи, регулярно остающиеся на зубах, ускоряют процесс, благоприятствуя размножению микробов, и в течение короткого времени налет превращается в камень. Это образование вызывает опущение и воспаление десны. Реже причинами такой болезни, как гингивит, становятся травмы десен, нарушения в работе иммунной и эндокринной систем, прием некоторых медикаментов, ослабляющих иммунитет.
Симптомы. Начальный этап гингивита проявляется кровоточивостью десен. Далеко не всегда этот симптом очевиден: в процессе еды человек может просто ощущать во рту привкус крови, и лишь спустя какое-то время кровь обнаруживается на щетке при чистке зубов. Впоследствии развивается повышенная чувствительность десен, их рыхлость, неприятный запах изо рта.
Лечение. Сначала выявляются причины, которые спровоцировали заболевание десен. По результатам обследования назначаются физиотерапевтические процедуры, курс медикаментозной терапии и другие методы лечения, в зависимости от причин болезни и состояния полости рта. Обязательным этапом остается устранение инфекционной составляющей заболевания десен и снятие воспаления.
Пародонтит
Причины. Бактерии, живущие в полости рта, и продукты их жизнедеятельности образуют мягкий налет (зубную бляшку), способный вызывать воспалительный процесс в мягких тканях. Это становится началом заболевания десен. Кроме того, к пародонтиту могут привести неправильный прикус, неправильно установленные протезы, привычка скрежетать зубами, наличие зубного камня, нарушения обмена веществ и работы иммунной системы. Прием некоторых лекарственных препаратов – еще один фактор, способный спровоцировать пародонтит.
Симптомы. Один из главных признаков пародонтита – состояние, при котором десна отекает, опускается и обнажает часть шейки зуба. На начальной стадии глубина такого кармана составляет порядка 4 мм. По мере развития заболевания могут проявляться и другие симптомы: постепенное разрушение связочного аппарата, углубление зубодесневых карманов, сильная кровоточивость десен, шаткость зубов и разрушение костных тканей у корней.
Лечение. Предусматривает удаление наддесневых и поддесневых камней, устранение причины воспаления (путем замены протезов или пломб), применение местных и системных лекарственных препаратов, физиотерапевтические процедуры и обязательно обучение пациента правильной гигиене полости рта, включающее подбор подходящих средств – пасты и ополаскивателя. В тяжелых случаях может потребоваться хирургическое лечение, включая имплантацию костных тканей.
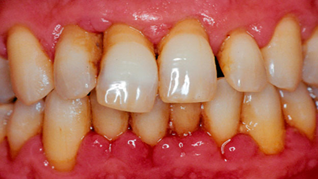
Зубной камень
Причины. Так же как при других состояниях и заболеваниях десен и зубов, главную роль в образовании зубного камня играют микроорганизмы, присутствующие на слизистой полости рта. Их жизнедеятельность приводит к образованию мягкого налета, который при определенных обстоятельствах становится «фундаментом» для зубного камня. Такими обстоятельствами могут выступать недостаточный или неправильный уход за зубами, их слишком плотное расположение, делающее затруднительным очищение межзубного пространства, индивидуальные особенности состава слюны, системные заболевания, изменяющие pH полости рта, и другие факторы.
Симптомы. Зубной камень чаще всего образуется на задней поверхности нижних передних зубов и внешней стороне боковых, прилегающих к слизистой щек. Внешне камни могут представлять собой шероховатости от серого до темно-коричневого цвета. Они не удаляются даже при интенсивной чистке абразивными пастами и порошками.
Лечение. Болезни зубов и десен нередко начинаются именно с зубного камня. Его своевременное и правильное лечение относится к мерам профилактики гингивита, пародонтита и других недугов. Зубной камень можно удалить разными способами. Выбор метода остается за врачом и зависит от ситуации. В план лечения обязательно входит подбор правильных средств по уходу за полостью рта: щетки, зубной нити, пасты и ополаскивателя, которые в совокупности предупредят рецидив.
Кариес
Причины. Неправильная гигиена полости рта – основной и первостепенный фактор, приводящий к развитию кариеса. Бактерии, присутствующие на поверхности зубов, в ходе своей жизнедеятельности выделяют вещества, разрушающие эмаль. Наиболее интенсивно процесс происходит в первые 20 минут после приема пищи – именно этим обусловлена необходимость чистки зубов после еды или полоскания полости рта специальными ополаскивателями.
Симптомы. Начальный этап кариеса протекает бессимптомно, и разрушения эмали можно обнаружить только с помощью современных стоматологических методов. По мере развития заболевания на поверхности эмали появляются небольшие пятна, постепенно углубляющиеся, видимые невооруженным взглядом и поражающие ткани, расположенные под эмалью. Первыми симптомами становится повышенная чувствительность при приеме холодной, горячей, сладкой и кислой пищи. Если ничего не предпринимать на этом этапе, кариес может привести к обнажению нерва, что вызовет сильные боли.
Лечение. Хотя кариес поражает зубы, десны тоже страдают при отсутствии лечения. Запущенное заболевание может вызвать абсцесс, и потребуется хирургическое вмешательство с последующим курсом продолжительной терапии. Лечение кариеса проводится путем удаления поврежденных и разрушенных тканей и заполнения кариозной полости специальными материалами, которые восстанавливают анатомическую целостность и форму зуба. Кроме того, пациенту рекомендуются зубные пасты и ополаскиватели для рта, помогающие не допустить повторного поражения.
Пульпит
Причины. Это заболевание чаще всего развивается как осложнение кариеса. В тех случаях, когда лечению не было уделено должного внимания или же при неправильном подходе к терапии воспалительный процесс распространяется на пульпу – глубокие зубные ткани. Второй по распространенности причиной пульпита является травма зуба, при которой болезнетворные микроорганизмы проникают в пульпу через повреждения в эмали. Системные инфекционные процессы тоже влияют на развитие заболевания, так как болезнетворные микроорганизмы способны проникать в зубные ткани по кровеносному руслу.
Симптомы. Пульпит проявляется сильной зубной болью, преимущественно в вечернее и ночное время. Боль усиливается при приеме горячей и холодной пищи. В тех случаях, когда в воспаленных тканях образуется гной, боль стихает при употреблении холодных напитков или блюд, а при приеме горячих – обостряется. Также болезненные ощущения возникают при давлении на пораженный зуб. Возможно повышение температуры тела. При тяжелом воспалении человек неспособен определить локализацию боли – она приобретает разлитой характер и может ощущаться на всей челюсти.
Лечение. Проводится с помощью вскрытия воспаленной полости, удаления инфицированных и разрушенных тканей, антисептической обработки, наложения препаратов, снижающих воспаление, пломбирования канала. В ряде случаев становится необходимым удаление нерва, а иногда – полностью зуба. Тактика лечения подбирается в зависимости от степени поражения, возраста пациента и других факторов.
Периодонтит
Причины. Воспаление периодонта – соединительной ткани, расположенной вокруг зубного корня, – может быть обусловлено множеством причин. Среди них невылеченный кариес и пульпит, травмы зуба (включая хроническое травмирование неправильно поставленной пломбой или привычкой зажимать во рту твердые предметы), проникновение инфекции через кровь, из прилегающих структур (гайморовых пазух, костей лицевого отдела черепа), воздействие на ткани периодонта токсичных или сильнодействующих веществ.
Симптомы. Наиболее характерный симптом острого периодонтита – «выросший» зуб, который ощущается больным, как «слишком длинный», «мешающий». Появляется ноющая боль, интенсивность которой достаточно быстро нарастает. Вскоре она превращается в пульсирующую, распирающую, отдающуюся в ухо, висок или глаз. Повышается температура тела, увеличиваются лимфатические узлы под нижней челюстью. Прикосновение пищи или даже жидкости к больному зубу вызывает вспышку острой боли. В периодонте образуется полость со скоплением гноя.
Лечение. Заключается в удалении воспаленных тканей, вскрытии корневых каналов, закладывании в них лекарственных средств с последующим пломбированием. Кроме того, назначается местная медикаментозная терапия, направленная на устранение воспалительного и инфекционного процессов.
Профилактика заболеваний зубов и десен
Отказ от курения. Курение вызывает сужение сосудов в слизистой рта, что приводит к ухудшению кровоснабжения и дефициту питательных веществ. Отказ от никотиновой зависимости должен стать обязательным этапом в профилактике болезней зубов и десен.
Правильное питание. Недостаток питательных веществ, преобладание мучной, сладкой, слишком горячей или холодной пищи, отсутствие свежих овощей и фруктов может стать фактором, провоцирующим развитие заболеваний десен и полости рта.
Правильная чистка. Регулярный и правильный уход за полостью рта – это первое, на что помогает предотвратить болезни зубов и десен. Использование щетки со щетиной необходимой жесткости, применение «целевых» зубных паст (снижающих чувствительность зубов, противовоспалительных и т. п.) и зубной нити на порядок уменьшает вероятность развития воспалительных и инфекционных процессов.
Использование ополаскивателя. Ополаскиватели занимают важное место в профилактике заболеваний десен и полости рта. Их неоспоримым преимуществом является способность проникать в межзубное пространство и удалять частички пищи, которые не всегда доступны даже при чистке зубной щеткой. Кроме того, ополаскиватели, благодаря своему составу, способствуют сохранению необходимого уровня кислотности в полости рта, оказывают антисептическое действие и препятствуют размножению бактерий. Эти средства удобно использовать даже в случаях, когда чистка зубов по каким-либо причинам невозможна, что позволяет обеспечить дополнительную защиту полости рта.
Ополаскиватели LISTERINE
Информация в данной статье носит справочный характер и не заменяет профессиональной консультации стоматолога. Для постановки диагноза и назначения лечения обратитесь к квалифицированному специалисту.
